2026年2月18日

豊中市・千里中央・桃山台で小児矯正をご検討中の方へ。
「永久歯がガタガタに生えてきた」
「歯が並ぶスペースが足りない気がする」
そんなご相談が増えています。
歯並びの問題は、単に“歯が大きいから”ではありません。
実は――
上顎の成長不足が大きく関係していることが多いのです。
なぜ歯が並ぶスペースが足りなくなるのか?
成長期のお子さまでは、次の要因が重なることがあります。
・上顎の横幅が狭い
・歯列がV字型になっている
・口呼吸
・舌の位置が低い
この状態では、永久歯がきれいに並ぶためのスペースが不足します。
その結果
前歯の重なり
八重歯
将来的な抜歯矯正
につながる可能性があります。
顎顔面矯正とは?
顎顔面矯正は、
**歯を動かす前に“土台(顎)を整える治療”**です。
成長期に上顎の幅を拡大することで
・U字型の歯列へ誘導
・永久歯が自然に並ぶスペース確保
・口呼吸改善のサポート
が期待できます。
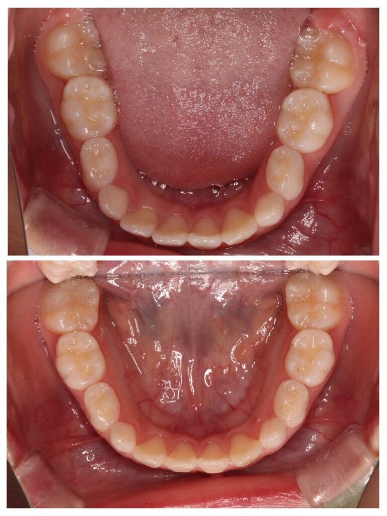
症例紹介①(顎顔面矯正)
今回の症例では、
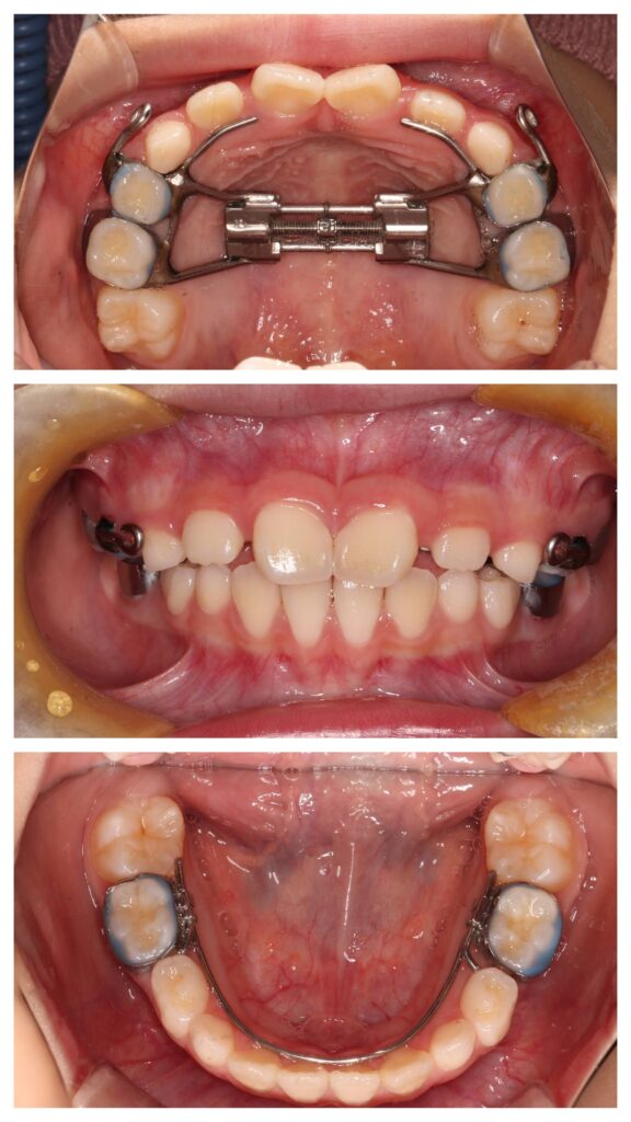
成長期に上顎の拡大装置を使用。
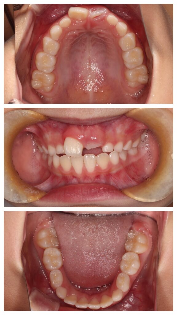
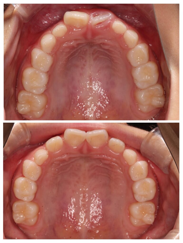
BEFORE
歯列が狭く、前歯のスペース不足が認められました。
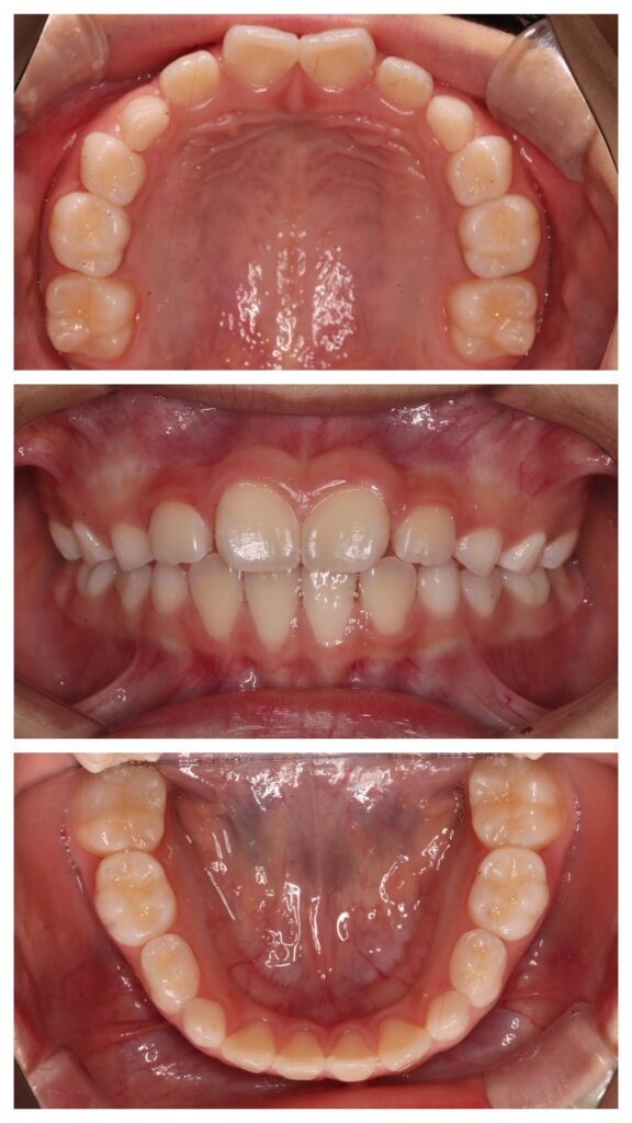
AFTER
歯列はU字型へ拡大。
永久歯が並ぶ余裕のあるアーチへ改善しました。
※症例は保護者様の同意を得て掲載しています。

歯列が狭く、前歯のスペース不足が認められました。


歯列はU字型へ拡大。
永久歯が並ぶ余裕のあるアーチへ改善しました。


小児矯正は「早すぎる」はありません
よくあるご質問:
「まだ様子を見たほうがいいですか?」
実は、
成長を利用できる時期は限られています。
タイミングを逃すと
・抜歯矯正になる可能性
・ワイヤー矯正の長期化
・外科的矯正が必要になるケース
もあります。
豊中市で小児矯正をご検討の方へ
新千里なかの歯科では
豊中市・千里中央・桃山台エリアで
小児歯科・小児矯正に力を入れています。
✔ 歯並びが気になる
✔ 将来抜歯を避けたい
✔ 口呼吸が気になる
✔ できるだけ自然な成長を活かしたい
まずはお気軽にご相談ください。
📍 新千里なかの歯科
豊中市小児歯科/豊中市小児矯正
千里中央駅・桃山台駅からアクセス良好
